Tschertgar:

Osteoporosa

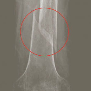
Osteoporosa

Cur che l'ossa daventa rumpaivla

Osteoporosa (dal grec «oss» e «dir») è ina reducziun exagerada da la substanza e structura da l’ossa da l’entir skelet. En ospitals svizzers vegnan tractads, tenor la Osteoswiss, mintg’onn radund 26 000 pazientas e pazients cun ruttadiras da l’ossa pervi d’osteoporosa. Da l’osteoporosa èn pertutgadas per la gronda part dunnas e persunas sur 40. Ils motivs èn differents: disposiziun genetica, mancanza d’ormons sexuals (tar dunnas savens suenter la menopausa), nutriment manglus, funcziuns falladas da las glondas tiroidas u anorexia. Tenor l’Organisaziun mundiala da la sanadad WHO vegn l’osteoporosa considerada sco ina da las diesch malsognas las pli frequentas en l’entir mund e valitada sco in dals problems da sanadad principals.

La pictura dal temp medieval La pictura da l’epoca moderna L’architectura profana Cucu La chasa da purs Co fan ins in film? Munds alpins Dal graun al paun Natira e cuntrada Scriver artitgels per gasettas

chattà.ch – cudeschs, cds, dvds, paginas d’internet e bler auter en rumantsch grischun.
chattà.ch è ina banca da datas che rimna e collia texts ed autras materialias en rumantsch grischun. Tut ils dretgs èn resalvads a las auturas/auturs dals cuntegns.
Redacziun: info@chatta.ch
Realisaziun grafica: Fry&Partner, Turitg/Mustér
Realisaziun tecnica: far ScRL
Homepage: chattà.ch